

Wenn das Wasser eigentlich klar ist, der Taschenlampentest aber etwas anderes zeigt....

das Wasser ansich ist schon klar.

nach knapp 45 Stunden hat sich die Filterpatrone zugesetzt. Sehr wenig Wasserförderung durch die Pumpe.
Patrone gesäubert.
Taschenlampentest keine sichtbare Veränderung. 11 Watt UVC zugeschaltet.
Hallo Kurt,Bei mir hat Feinfilterung ja auch nichts gebracht, hatte ich Hier schon mal angemerkt
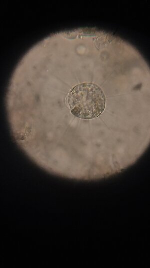
Habe ich gestern nicht gemacht. Ich gehe weiterhin hauptsächlich von Kieselalgen aus, wie ich sie letztens bereits in den Filterballs gefunden habe. Natürlich mit Mulm/Kot-und Futterresten sowie Bakterien vermischt. Mikroorganismen/Bakterien sind kleiner als die 60 μ Maschenweite der Filterpatrone (Vielleicht sind es sogar 80μ - sicher weiß ich es nicht, die Patrone habe ich seit über 20 Jahren).Interessant wäre was für Schwebstoffe es im freien Wasser bzw. Mulm sind / welche Algen, Mikroorganissmen am besten mit Mengenangabe / Bilder.
Ich gehe weiterhin hauptsächlich von Kieselalgen aus, wie ich sie letztens bereits in den Filterballs gefunden habe. Natürlich mit Mulm/Kot-und Futterresten sowie Bakterien vermischt.
Ich sehe Mulmflocken, aber auch irgendwelche Fasern?
Oder ich besorge mir einen feinmaschigeren 5μ Filtersack und lasse 10 Liter Wasser einmalig durchlaufen.
Wir verwenden essentielle Cookies, damit diese Website funktioniert, und optionale Cookies, um den Komfort bei der Nutzung zu verbessern.
Siehe weitere Informationen und konfiguriere deine Einstellungen